عالمی ادارہ صحت (ڈبلیو ایچ او) نے کہا ہے کہ دنیا بھر میں منکی پاکس کے مزید کیسز بھی سامنے آ سکتے ہیں اور اسی خدشے کے پیش نظر اُن ممالک پر بھی نظر رکھی جا رہی ہے جہاں ابھی تک یہ بیماری رپورٹ نہیں ہوئی۔
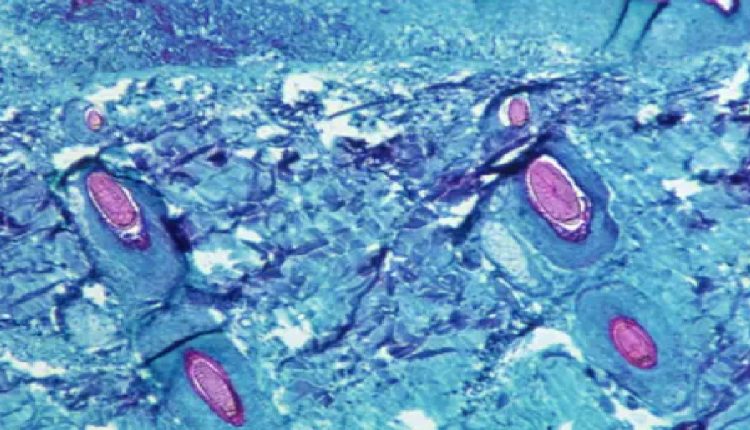
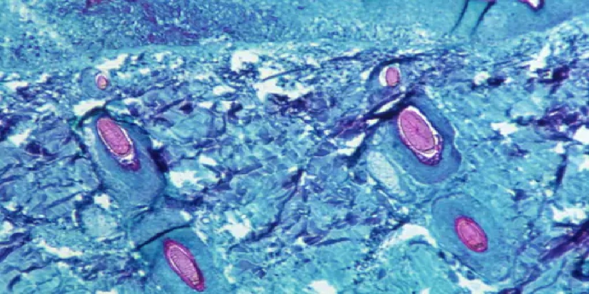
اس بیماری کی شناخت 1958ء میں ایک تحقیق کے دوران ہوئی تھی جب سائنسدانوں کو بندروں کے جسم پر پاکس یعنی دانے نظر آئے تھے اسی لیے اس بیماری کا نام منکی پاکس رکھا گیا تھا۔ یہ ایسا وائرس ہے جو جنگلی جانوروں خصوصاً زمین کھودنے والے چوہوں اور بندروں میں پایا جاتا ہے اور اکثر ان سے انسانوں کو بھی لگ جاتا ہے۔

ماضی میں اس وائرس کے زیادہ تر کیسز وسطی اور مشرقی افریقا کے ممالک میں پائے جاتے تھے۔ اس وائرس کے پہلے کیس کی شناخت 1970ء میں افریقی ملک کانگو میں ایک 9 سالہ بچے میں ہوئی تھی۔
برطانوی خبر رساں ادارے روئٹرز کے مطابق ڈبلیو ایچ او کا کہنا ہے کہ گزشتہ روز تک 12 رکن ممالک سے پہلی بار منکی پاکس کے 92 مصدقہ اور 28 مشتبہ کیسز سامنے آئے ہیں۔
Advertisement

دوسری جانب خبر رساں ادارے ایسوسی ایٹڈ پریس کے مطابق تاریخ میں پہلی بار یہ وائرس افریقی ممالک سے نکل کر دنیا بھر میں پھیلتا نظر آرہا ہے اور اس کی تشخیص ایسے افراد میں بھی ہو رہی ہے جو کبھی افریقی ممالک گئے ہی نہیں۔
ڈبلیو ایچ او کے اہلکار اور متعدی بیماریوں کے ماہر ڈیوڈ ہیمن نے کہا ہے کہ یہ وائرس جنسی طور پر منتقل ہونے والے انفیکشن کی طرح پھیل رہا ہے۔ انسانوں میں قریبی رابطہ اس وائرس کی منتقلی کا ذریعہ ہے کیونکہ اس بیماری کے بعد پیدا ہونے والے مخصوص زخم متعدی ہوتے ہیں۔

ڈیوڈ ہیمن کے مطابق کووڈ لاک ڈاؤن، سماجی فاصلے اور سفری پابندیوں کے باعث یہ وائرس زیادہ نہیں پھیل سکا۔ جن لوگوں کے جسم پر دھبوں اور بخار جیسی علامات ظاہر ہوں انہیں دوسروں کے ساتھ قریبی رابطے سے گریز کرنا چاہیے۔